手・肘の疾患や外傷によって
失われた機能の回復をめざす
医療法人錦秀会 阪和記念病院
(大阪府 大阪市住吉区)
最終更新日:2025/11/04


- 保険診療
- 関節リウマチ
- 腱鞘炎(ドゥ・ケルバン病、ばね指)
- 骨粗しょう症
- 手根管症候群
- 橈骨遠位端骨折(コレス骨折・スミス骨折)
- テニス肘(上腕骨外側上顆炎)
- ヘバーデン結節
診療部位が手足や脊椎など広範囲に及ぶ整形外科では、専門領域の細分化が進む。そんな状況も踏まえ、「阪和記念病院」では2024年10月に「手・肘・末梢神経外科センター」を新設。上肢や末梢神経に豊富な診療経験を持ち、精緻な手術を得意とする日高典昭副院長がセンター長に就任した。現在は週3回の外来診療を行いながら 、さまざまな手術や保存治療にも対応。「手・肘の障害の原因は単純な外傷から全身疾患の一症状までさまざまで、診断が難しいこともあります。手の機能障害は日常生活や仕事、スポーツや芸術などの文化活動に至るまで人生に大きく関わりますから、症状があれば早めに専門家を受診してほしい」と話す日高センター長に、同センターで扱う病気や治療法について、解説してもらった。(取材日2025年7月17日)
目次
精密な診察と種々の検査により診断し、適切な手術または保存治療を行う
- Q手指や腕の治療では、どのようなことが重要になるのでしょうか?
- A

日常における「手の機能」の重要性について語る日高典昭先生
私たちの日常生活には、手の機能が欠かせません。食べること、入浴や洗顔、排泄には必ず手の動作が伴いますし、掃除や料理などの家事、買い物や運転、もちろん仕事や勉強にも手が必要です。スポーツや楽器演奏など、人生を彩るような多くの活動でも、手は重要な役割を果たします。病気やけがのために手や腕の機能が損なわれると、生死に関わることは少ないのですが人生の質が大きく変化してしまうのですね。そこで、当センターでは損なわれた手や指、腕の機能を回復させることを図ることによって「人生の質」の向上をめざしています。
- Q手や肘の外傷では、どのような治療が行われますか?
- A

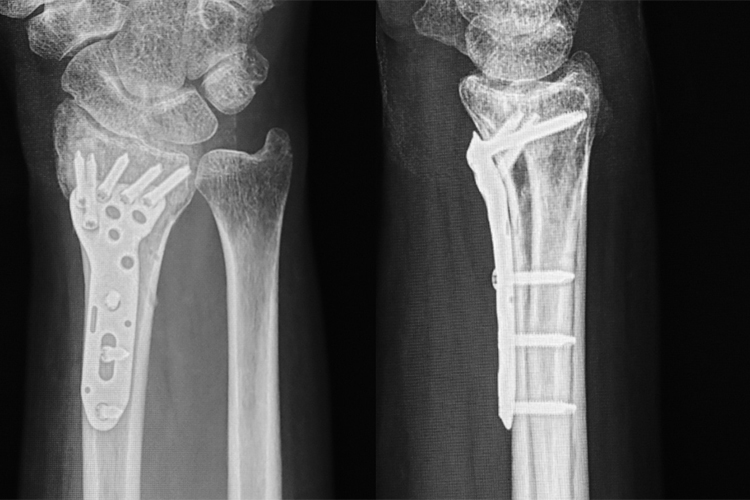
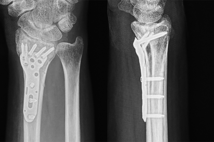
橈骨、尺骨遠位端骨折といった手首の骨に対するプレート固定
外傷でも最も多いのは骨折で、代表的なものは高齢女性に好発する橈骨遠位端(とうこつえんいたん)骨折、転倒して手をついた時に骨粗しょう症によって脆弱になった手首の骨が折れてしまうケースです。手術によってずれた骨を整復しプレートで固定します。肘関節脱臼骨折は治療の難しい外傷で、手術で正確に関節面を整復することが鍵となります。また、刃物やガラスの破片で指を切ると、腱や神経が切れることもあります。指を曲げる屈筋腱は、かつては治療が難しいものとされていましたが、最近では精密な手術と早期のリハビリテーションで良好な結果が望めるようになりました。また、野球肘などスポーツ障害に対しても積極的に取り組んでいます。
- Q加齢とともに増える手指の症状があるそうですね。
- A

へバーデン結節による指先の変形
加齢ではありませんが、更年期女性にはさまざまな手の障害が起こるので「メノポハンド」と呼ばれています。指先の関節が変形するヘバーデン結節や親指の付け根に起こる母指CM関節症、ばね指やドケルバン病とよばれる腱鞘炎、手指がしびれる手根管症候群などがそれに含まれます。母指CM関節症やへバーデン結節はサポーターやテーピングで痛みの緩和を図りますが、改善しない場合は手術に至ることもあります。腱鞘炎では、まずはステロイドの注射を行い、再発を繰り返す場合は手術を検討します。手根管症候群に対しては手根管を開放する手術を行いますが、母指球筋の筋の萎縮が重度の場合は腱移行を同時に行うこともあります。
- Q全身疾患でも、手指の症状が見られる場合があると聞きました。
- A

関節リウマチによる伸筋腱皮下断裂のために伸ばせなくなった指
関節リウマチは全身の病気ですが、症状が初めに出るのは手なのでそれが診断の決め手となります。関節リウマチの手で手術の対象となるのは、伸筋腱皮下断裂やMP関節の尺側偏位、指のスワンネック変形、ボタンホール変形などです。腱移植や腱移行、シリコンインプラントなどの手術を行いますが、術後に癒着や拘縮が起こりやすいのでリハビリテーションが大切です。入院中は専門の作業療法士が訓練にあたります。また、リウマチ肘の変形に対しては人工肘関節が有用です。糖尿病の患者さんでは手の障害を来しやすいことが知られており、腱鞘炎、上腕骨外側上顆炎、手根管症候群、デュプイトラン拘縮などがよく起こります。
- Qこちらで治療を受けるメリットをお聞かせください。
- A

入念な診察で遠位橈尺関節の不安定性を評価する
外傷に対しては受傷後早期の適切な時期に手術を行えます。予定手術についても待機期間はそれほど長くなく、2~3週以内です。単純エックス線やCT、MRI、超音波(エコー)、関節造影、神経伝導検査など診断に必要な検査のほとんどを院内で行うことができます。上肢に症状を来す可能性がある頸椎疾患や末梢神経疾患については、脳神経外科、脊椎外科や脳神経内科とも連携しています。手や末梢神経の手術で精密な操作が必要で、ルーペや脳外科と共用の高性能な顕微鏡を用いて視野を拡大するマイクロサージャリーを行っています。また、リハビリテーションは豊富な臨床経験を持つ作業療法士が担当します。

日高 典昭 副院長
大阪市立大学(現・大阪公立大学)医学部卒業。大阪労災病院や大阪市立大学医学部附属病院(現・大阪公立大学医学部附属病院)などで研鑽を積み、手や肘の外科、マイクロサージャリー、末梢神経外科を専門領域とする。淀川キリスト教病院整形外科部長を経て大阪市立総合医療センターでは整形外科部長、副院長を務め、小児先天異常や切断指再接着を含め多数の上肢手術を行ってきた。スポーツ整形外科にも精通。2024年より現職。





